RDA Is Proud To Announce Its All-on-4® Technique Hands-On CE Course
Ridgewood Dental Associates is proud to announce its All-on-4® Technique Hands-On CE Course
After a combined 35 years of lecturing on Dental Implants including 5 years of teaching local dentists implant techniques through the Ridgewood Dental Education Center, we are proud to announce our first hands-on, 9 month Dental Implant course. The focus of this course will be the All-on-4® technique of providing a non-removable arch of teeth anchored by 4 implants. Our limited class size allows for a very intimate learning setting for participanting dentists. We are thrilled to provide this opportunity to local general dentists as well as for local patients. Participating patients receive a 1/3 discount off of our standard prosthetic and surgical fees. For this fee reduction, patients would agree to have participating dentists observe and assist in the restorative dentistry.
If you know of anyone who might be interested in getting rid of their denture and having something non-removable, we are screening patients now for participation in this continuing education course.
Here is what the All-on-4® can do for an individual.
Meet Mike .....
Ask him to smile for the camera before...
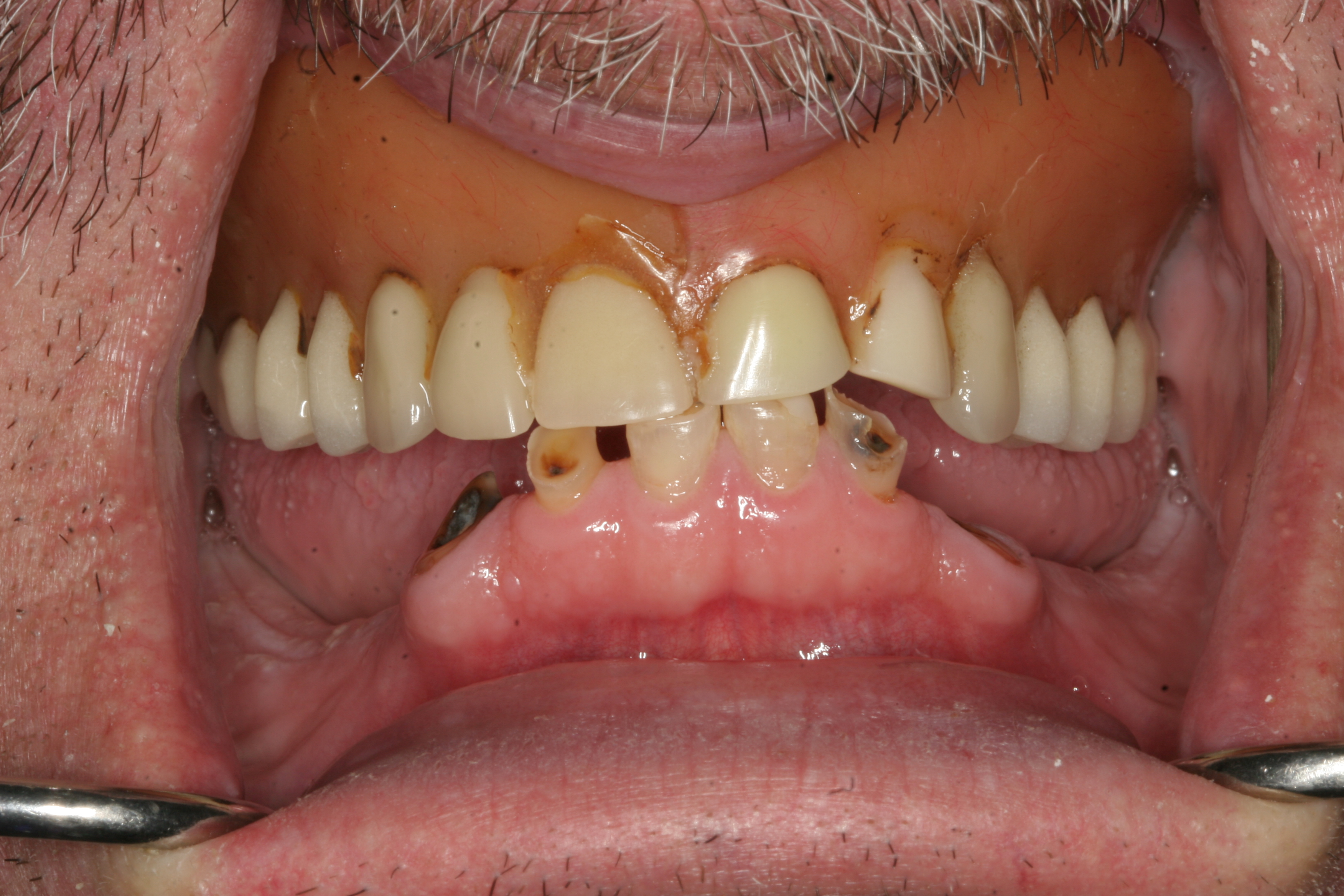
Make him laugh and get the picture quick
A view with the lips out of the way
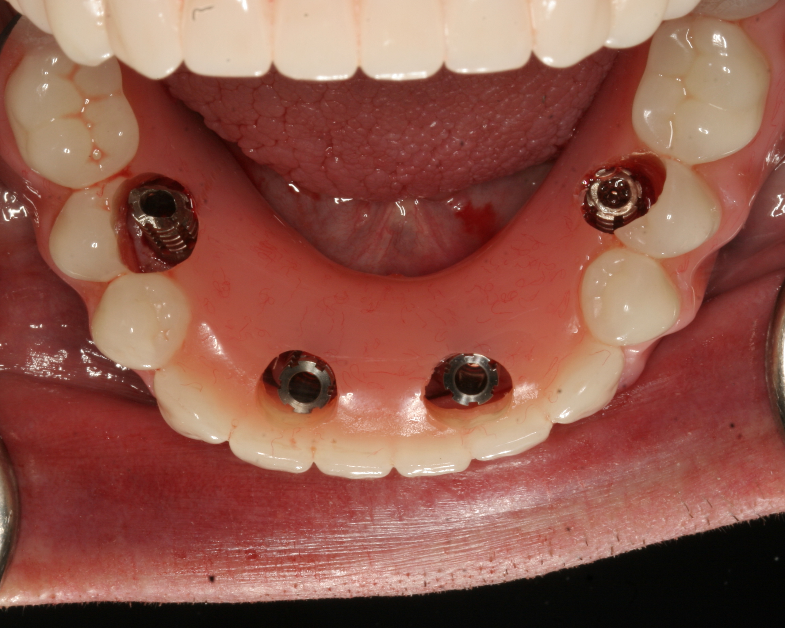
Here is the lower temporary denture modified to allow it to be screwed down into the implants that were placed today.
Here is the screw down denture that Mike went home with after his extractions and having his implants placed. The implants went in tight enough and stable enough to use immediately. Hence he goes home with a non-removable temporary restoration.
After 3 months of implant healing, all while functioning on his immediate screw down temporary All-on-4® restoration, we started the final CADCAM bar reinforced, screw down All-on-4© restoration. Here is what it looks like.
Here is Mike’s new smile
Here it is with the new upper restoration and the lips out of the way. He will never have to take the lower All-on-4® out. Just brush and floss it like we taught him.
I am so happy for Mike. He LOVES his new smile!





